母指CM関節症
目次
- Q. 母指CM関節症とは?
- Q. 母指CM関節症は何歳ぐらいに多い病気ですか?
- Q. 女性が多いと聞きますが、男女比はどうですか?
- Q. なぜ親指に起きるのでしょうか?
- Q. 原因は何が考えられますか?
- Q. 治療法はどんなものがありますか?
- Q. 外科治療とはどんな治療がありますか?
- Q. 食事療法でどうにかなりますか?
Q. 母指CM関節症とは?
親指は他の指と比較して、物をつまむ、握る、投げる等の動作時に使用頻度の多い指です。
その分変形になるリスクが高く、特に親指の付け根が痛くなります。痛みが付け根だけでなく、母指の第1関節になることもあります。
こちらでは母指CM関節症についてをQ&A形式でご説明しています。
Q. 母指CM関節症は何歳ぐらいに多い病気ですか?
A. 2023年5月1日~2024年4月30日に柏Handクリニックに通院された新規の母指CM関節症の患者さんの年齢分布図です。
女性は40代から、男性も50代から上昇して、60代をピークに80代までの広い年齢層に分布されています。
Q. 女性が多いと聞きますが、男女比はどうですか?
A.女性が80%を占めています。使用頻度の問題と女性ホルモンの低下とが関係しているようです。
Q. なぜ親指に起きるのでしょうか?
A. ご自分の親指をご覧になってみてください。母指は人差し指(示指)~小指に対抗しており、可動域が非常に大きくなっています。
関節の形が他の指関節と違い馬に着ける『鞍』のようになっています。前後、左右に動く関節はそれだけ多くのストレスを受けています。年を取るに伴う軟骨高の低下により関節の遊びが大きくなり、軟骨の変性が進行します。
さらには軟骨の消失、変形性関節症へ移行がおこってしまいます。
お分かりの通り、つまみ動作や物の保持の際には親指に大きな力が働きます。これも他の指に比べて変形が起こりやすい原因です。
Q. 原因は何が考えられますか?
A. 多くは年齢構成が60代で多いことをみると年を重ねることによる変化が考えられますが、70代以降に低下傾向が生じているところをみると決して年齢だけではないように思われます。
また、女性が多いことから、女性ホルモンとの関係についての報告がみられます。
他の手指手関節疾患と同様に、様々な要素による影響が考えられており、特定は困難そうです。
Q. 治療法はどんなものがありますか?
A. まずは、保存的治療を試みてみましょう。
主な保存的治療は、注射、内服、装具があります。特にお勧めしたいのが装具です。
アントル・ノ・ドワ社製の『サムケア』は、フィッテイングが良く、耐水性もあり、従来製品と比較して再急性もあります。女性たちの日常での炊事洗濯等の家事労働でも着けたままで作業が可能です。

痛い関節を避けて力を伝えますので、症状は軽くなります。
その他に消炎鎮痛薬の内服、関節内ステロイド注射があります。
根本治療を望むのであれば、外科的治療となります。
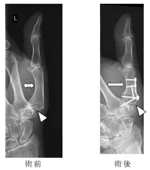
Q. 外科治療とはどんな治療がありますか。
A.お薦めは中手骨楔状骨切り術です。30度の外転角度で骨切りをしてプレートで固定をします。
母指の外転が可能(⇔)となり、亜脱臼していたCM関節が整復され、関節裂隙(軟骨スペース)は修復されている(△)。
握力の低下がなく、症状の悪化の際にはさらにサルベージ治療が可能な術式です。手術時間は1時間30分程度です。
術後3週間目から可動域訓練を中心としたリハビリが積極的に可能です。骨癒合が完成後は思うように使用が可能です。

Q. 食事療法でどうにかなりますか?
A. ばね指同様、原因の一つに女性ホルモンがあります。
大豆に含まれているイソフラボンが女性ホルモンと骨格が似ていることから、豆乳や大豆製品(豆腐、納豆など) の摂取が改善の可能性がありますが、エビデンスのある研究はありません。
また、イソフラボンの有効成分だけを利用した健康食品も発売されています。
当サイト監修医は柏Handクリニックで診察をしています
当サイトを監修している田中利和は、千葉県柏市の柏Handクリニックにて、手(指・手首・ひじ)の疾患に特化した診察・治療を行っております。
2020年の開院以来、手の症状でお困りの多くの方にご来院いただいております。
日本整形外科学会専門医・日本手の外科学会専門医の資格を持った手の専門家として、患者さんと一緒に、より良い治療を一緒に考えていきたいと思っております。
- 指が痛い
- ばね指
- へバーデン結節
- 母指CM関節症
- マレット指
- 伸筋腱断裂
- 手指骨折
- 側副靭帯損傷
- 母指MP関節側副靭帯損傷
- 痛風性関節炎
- グロムス腫瘍
- 内軟骨腫
- ガングリオン
- 尺側手根伸筋腱炎、周囲炎
- 舟状骨骨折
- 指がしびれる
- 手根管症候群
- 指が腫れる
- 側副靭帯損傷
- 母指MP関節側副靭帯損傷
- 痛風性関節炎
- 手指骨折
- 舟状骨骨折
- 指が動かない
- ばね指
- 強剛母指
- 屈筋腱断裂
- 伸筋腱断裂
- デュピュイトラン拘縮
- 伸筋腱脱臼
- 尺側手根伸筋腱炎、周囲炎
- 指がふるえる
- 書痙
- 手首が痛い
- ドケルバン腱鞘炎
- キーンベック病
- TFCC損傷
- 尺側手根伸筋腱炎・腱鞘炎
- 橈骨遠位端骨折
- 舟状骨骨折
- 有鉤骨鉤骨折
- 尺骨突き上げ症候群
- 尺側手根伸筋腱脱臼
- ガングリオン
- 手首が腫れる
- 橈骨遠位端骨折
- ガングリオン
- ひじが痛い
- 野球肘
- 肘内障
- 上腕骨外側上顆炎(テニス肘)
- ひじがしびれる
- 肘部管症候群
- ひじが動かない
- 橈骨神経麻痺
- 肘の側副靭帯損傷
- 治療法・サプリ
- スプリント
- 大豆イソフラボンの効果
- 炭酸ガス療法
- 上肢の外傷・手術を受けた患者さんへ





