ガングリオン
こちらではガングリオンについてをQ&A形式でご説明しています。
目次
Q. ガングリオンって何ですか?
A. ガングリオンはなかにゼリー状の物質の詰まった良性腫瘤です。
典型的なものは手関節背側(甲側)に生じるガングリオンです。これは手関節の関節包(関節を包むふくろ)に繋がっています。その他、手首掌側の拍動する動脈の脇や腱鞘炎に伴って指の付け根の掌側の腱鞘周囲に生じます。
ガングリオンの好発部位

大きさとしては米粒大からうずらの卵大になるものもあります。手関節や手指を使うと大きくなります。
Q. 男女比はどうですか?
A. 発症頻度は女性、若年者の発症頻度が高いです。
2023年4月1日より2024年3月31日までの初診患者さん3560人中ガングリオンでいらっしゃったのは239人(6.7%)でした。性比は女性168名(70%)男性71名
年齢的には50代が腱鞘上ガングリオン、通常のガングリオンともに多かったです。
Q. 症状はどのようなものがありますか?
A. 『骨が出た』『当たると痛い』等の訴えで受診される方が多いです。
背側に出来たものでは、手関節を掌屈すると大きな腫瘤として触知します。
その他、手関節の可動域の低下や筋力の低下、神経を圧迫するとしびれや筋力の低下を生じます。
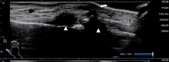
Q. 診断はどうしたらつきますか?
A. 必ずエコー検査をしてもらってください。

どちらも指背側に出来た軟部腫瘍ですが、エコー所見では左は充実性腫瘍(エコーで内部が充填されている)右は黒い部分がありのう胞性の変化があります。左は他医で穿刺されて何も出ないということで紹介されていらっしゃいました。痛いだけ損です。

田中利和著『クリニックで診る手 鑑別診断から治療まで』医事新報社より借用
Q.治療はどうしたらいいでしょうか?
ガングリオンは腫瘤のみで無症状なら、放置しても心配はありません(放置)。ただし、診断をしてもらうためにも必ず整形外科医、または手外科専門医を受診しましょう。大きくなるもの、痛みが強いもの、神経が圧迫されて神経症状があるもの(痛みや運動障害など)は治療が必要になります。
A. 保存的療法としては、
1.穿刺
ガングリオンに注射針を刺して注射器で吸引し内容物を排出します。再発しやすいです。
2.破砕
ガングリオンに圧を加えて押しつぶします。

田中利和著『クリニックで診る手 鑑別診断から治療まで』医事新報社より借用
3.切開摘出術
保存的治療を行っても繰り返し内容物が溜まるようなら、手術を行います。手術をしても再発する可能性もあります。茎を含めたガングリオンの摘出が必要であり、関節包の周囲に生じているガングリオン予備群の娘シスト(別の小さなシスト)がある場合には再発率が高いです。
当サイト監修医は柏Handクリニックで診察をしています
当サイトを監修している田中利和は、千葉県柏市の柏Handクリニックにて、手(指・手首・ひじ)の疾患に特化した診察・治療を行っております。
2020年の開院以来、手の症状でお困りの多くの方にご来院いただいております。
日本整形外科学会専門医・日本手の外科学会専門医の資格を持った手の専門家として、患者さんと一緒に、より良い治療を一緒に考えていきたいと思っております。
- 指が痛い
- ばね指
- へバーデン結節
- 母指CM関節症
- マレット指
- 伸筋腱断裂
- 手指骨折
- 側副靭帯損傷
- 母指MP関節側副靭帯損傷
- 痛風性関節炎
- グロムス腫瘍
- 内軟骨腫
- ガングリオン
- 尺側手根伸筋腱炎、周囲炎
- 舟状骨骨折
- 指がしびれる
- 手根管症候群
- 指が腫れる
- 側副靭帯損傷
- 母指MP関節側副靭帯損傷
- 痛風性関節炎
- 手指骨折
- 舟状骨骨折
- 指が動かない
- ばね指
- 強剛母指
- 屈筋腱断裂
- 伸筋腱断裂
- デュピュイトラン拘縮
- 伸筋腱脱臼
- 尺側手根伸筋腱炎、周囲炎
- 指がふるえる
- 書痙
- 手首が痛い
- ドケルバン腱鞘炎
- キーンベック病
- TFCC損傷
- 尺側手根伸筋腱炎・腱鞘炎
- 橈骨遠位端骨折
- 舟状骨骨折
- 有鉤骨鉤骨折
- 尺骨突き上げ症候群
- 尺側手根伸筋腱脱臼
- ガングリオン
- 手首が腫れる
- 橈骨遠位端骨折
- ガングリオン
- ひじが痛い
- 野球肘
- 肘内障
- 上腕骨外側上顆炎(テニス肘)
- ひじがしびれる
- 肘部管症候群
- ひじが動かない
- 橈骨神経麻痺
- 肘の側副靭帯損傷
- 治療法・サプリ
- スプリント
- 大豆イソフラボンの効果
- 炭酸ガス療法
- 上肢の外傷・手術を受けた患者さんへ





